![]() |
||||||||||||||
| スギ花粉症 | ||||||||||||||
|
![]() |
|||||||||||||
| 花粉が実ったスギ林 石川県内にもスギ林は多く、春にはたくさんの花粉が実ります。 スギ花粉症は、スギ花粉によるアレルギーが原因の病気で、鼻水、鼻づまり、くしゃみや流涙が、多い症状ですが、のどのイガイガ感や咳があることもあります。2月から4月にかけて、スギが花粉を実際に飛ばす季節に症状が出ます。 |
||||||||||||||
![]() |
スギの花粉は、球体ですが、1つの小さな突起(パピラ)がついています。無数の花粉が、上昇気流にのりかなり遠いところまで飛んでいくようです。たとえば、能登半島には、スギ林がたくさんありますが、その花粉は、富山湾を越えて、富山県を直撃するそうです。このため、富山県の方が、石川県より空中スギ花粉数が多いことが多く、石川県は富山県にずいぶん迷惑をかけている可能性があるかもしれません。、 | |||||||||||||
| スギ花粉の顕微鏡写真 | ||||||||||||||
| 花粉症の検査 | ||||||||||||||
![]() |
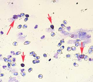
花粉症になっているかどうかの一番基本的な検査は、鼻にアレルギーが起きているかを調べることです。 このため、当院をはじめ耳鼻咽喉科の医療機関では、まず鼻水を綿棒でとって、ハンセル染色液で染色して、その場で顕微鏡で観察します。アレルギーが鼻にあれば、鼻水の中に好酸球という赤い顆粒を含んだ白血球が見つかります。矢印のついている細胞が、好酸球です。 鼻水は、水のように見えますが、たくさんの白血球を含んだ水です。ただの、水ではないのです。 |
|||||||||||||
| 鼻汁検査 | ||||||||||||||
![]() |
鼻にアレルギーがあるかどうかは、鼻水を検査すればわかりますが、それがスギの花粉でおきているかどうかまでは、わかりません。その原因を調べる方法の一つに、特異的IgE検査があります。すなわち、血中にスギ花粉に対する抗体が出来ているかを検査するのです。以前は、静脈から検査のために採血する必要がありましたが、最近は耳たぶから一滴くらいの血を採るだけで出来るようになりました。この写真では、スギのところに線が見えますが、このようになれば、血液中にスギ花粉抗体があることがわかります。この検査の場合、約20分で結果が出ます。 スギ花粉が原因であることが確定すれば、花粉防御マスクをはじめとした花粉グッズや、天気予報の花粉情報も有効に活用できるようになります。また、薬を飲むべき期間も、推測が出来ます。 |
|||||||||||||
| 特異的IgE検査 | ||||||||||||||
| 花粉症の治療 | ||||||||||||||
![]() |
花粉症の内服薬には、大きく分けて2種類の薬があります。鼻水をとめる抗ヒスタミン剤と、鼻づまりをとるロイコトリエン受容体阻害剤です。鼻水も鼻詰まりもひどい場合は、両方を組み合わせることもありますが、薬剤費が高くなります。また、重症の場合は、ステロイドホルモンを使用することもあります。抗ヒスタミン剤は、眠気が出る場合もあるので、運転などは控えるか、注意が必要です(自己責任での運転となります)。 内服薬と併用して、また単独で、点鼻薬もよく使用されます。 このほか、レーザーやアルゴンプラズマで病的鼻粘膜を焼く治療を行っている医療機関もあります。 |
|||||||||||||
| 花粉症の薬いろいろ | ||||||||||||||